by Romeo Proietti
Introduction
Rickettsia rickettsii is the causative agent of Rocky Mountain spotted fever (RMSF). This bacterium is a gram-negative, intracellular bacterium most frequently found in hard-bodied ticks in the environment. If bitten by an infected tick, R. rickettsii can then infect the endothelial cells of mammals, including humans. It is the most lethal of all bacteria in the spotted fever group “rickettsiae.”
Disease
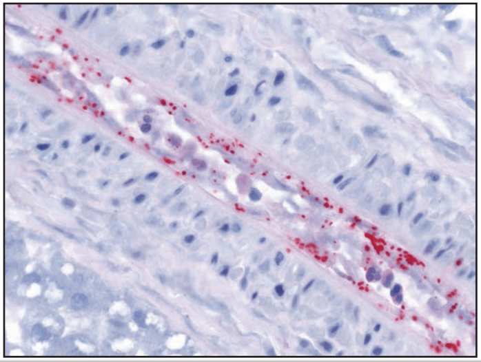
RMSF is called this because it was first identified in the Rocky Mountain region and was found to produce red spots that can sometimes cover the whole body including the palms of hands and soles of feet. It is caused by R. rickettsii, transmitted to humans mainly through a tick as the vector. Ticks become infected by feeding off the blood of infected animals. The most common types of tick species that the bacteria are found in are the American dog tick, Rocky Mountain wood tick and the brown dog tick. Once a human, or mammal, is bitten by an infected tick, the tick needs to be attached to the host for 6-10 hours for R. rickettsii to be released from the tick’s salivary glands. Once transmitted into the host, it begins to live and multiply in endothelial cells of the body (Figure 1). Endothelial cells line the interior surface of blood vessels and lymphatic vessels. R. rickettsii can rapidly enter the cells and reduce the immune response of the host so that it can continue to cause infection without being eaten up by the host defensive cells, like macrophages, as quickly compared to having a full immune response. This process of immune system evasion increases its survival in the host and prolongs the time it takes for the digestive cells to take over and eat up the bacteria. The infection of these cells increases vascular permeability of the blood vessels, which can lead to several symptoms such as fever, muscle pain, nausea, vomiting and skin rashes amongst many others.

Figure 1: Microscopic image of Rickettsia rickettsii (red) found in blood vessel endothelial cells (blue/purple). Source: US Department of Health and Human Services/Centers for Disease Control and Prevention (2016).
Epidemiology
Beginning in 2010, RMSF has been placed under the category “Spotted Fever Rickettsiosis” (SFR). The rate of incidence of SFR has been increasing and was over 11 cases per million people in 2014 compared to 2 cases per million people in 2000. Death rate has interestingly decreased to less than 0.5%. Since multiple other species of Rickettsia are part of the SFR group, it is unclear as to how many fatalities are caused by RMSF and R. rickettsii. Since RMSF is first caused by the infection introduced from ticks, anyone can be infected by R. rickettsii.
Throughout the United States, the number of cases begin to spike in the summer months, which coincide with when ticks are most active. In Arizona, R. rickettsii are mainly transmitted by the brown dog tick, infecting domestic and stray dogs which can then be passed on to people. More frequent cases of RMSF are found in men compared to women, as well as in native Americans compared to other groups. This can be attributed to their increased exposure to the ticks in the environment compared to other groups. Those with an increased risk of death by RMSF are children under the age of 10, native Americans, immunocompromised people and individuals who do not receive treatment within the first 5 days of symptoms.
Virulence Factors
During bacterial endothelial infection, R. rickettsii first gets into endothelial cells using surface adhesion proteins, OmpA and OmpB, which help them quickly attach to and pass into endothelial cells, a process called endocytosis (Figure 2a). These surface proteins on the bacteria attract digestive cells called macrophages, which are told to eat things that are foreign to the host. Once engulfed by the macrophage (Figure 2b), the bacteria use a secretion system called T4ASS to inject toxic chemicals into the macrophage to kill it and escape being eaten (Figure 2c). Once the bacteria exit the macrophage and are free in the cytosol of the epithelial cell, they gain nutrients from the host, multiply and steal a type of host protein called actin and use it to their advantage. Actin is a commonly found protein in mammalian host cells that can be combined end to end, starting on one end of the bacteria, with other actin proteins to form a long chain (Figure 2d). This chain of actin acts as a tail and helps the bacteria move within and between endothelial cells. Moving between cells helps them obtain as many nutrients from the host as possible to replicate and to further infect neighboring cells (Figure 2e). Their movement also helps them run away from immune cells, like other macrophages, and antibodies that are looking to kill them.

Figure 2: Host cell interactions with R. rickettsii. a) Endocytosis of Rickettsia rickettsii in an endothelial cell, b) Phagocytosis: eaten up by macrophage, c) Escape and killing of macrophage using T4ASS, d) Production of actin chain/tail on bacteria, e) Movement of bacteria within and between endothelial cells and infection of another epithelial cell. Source: Drawn by Romeo Proietti.
Once the bacteria are ready to leave their host endothelial cell, they release enzymes and proteases that degrade the cell’s membranes and cause large amounts of inflammation and damage to host tissues that can become spread throughout the body.
Prevention and Treatment
The best way to prevent infection of R. rickettsii would be to prevent tick bites. Ticks can be found in wooded areas such as forests, campgrounds and even in some people’s backyards. Wearing clothing that protects skin from encountering brush or grass can help reduce tick bites. Also, spraying clothes with bug repellent can help further reduce the chances of getting bitten by a tick.
If one does get bitten and catch RMSF, doxycycline is the drug used to treat it. Doxycycline acts by preventing the bacteria from reproducing by inhibiting protein synthesis. Without replication, the bacteria cannot continue to infect the host and the immune system will then take over and clear the infection. Treatment of doxycycline for 7-10 should clear the infection and most patients will fully recover.
References
- Perlman, S. J., Hunter, M. S., & Zchori-Fein, E. (2006). The emerging diversity of Rickettsia. Proceedings of the Royal Society B: Biological Sciences, 273(1598), 2097–2106. http://doi.org/10.1098/rspb.2006.3541
- Rocky Mountain Spotted Fever (RMSF). (2017, June 26). Retrieved November 20, 2017, from https://www.cdc.gov/rmsf/index.html
- Parola, P., Paddock, C. D., & Raoult, D. (2005). Tick-Borne Rickettsioses around the World: Emerging Diseases Challenging Old Concepts. Clinical Microbiology Reviews, 18(4), 719–756. http://doi.org/10.1128/CMR.18.4.719-756.2005
- Snowden J, Simonsen KA. Tick, Rickettsia Rickettsiae (Rocky Mountain Spotted Fever). Treasure Island (FL): StatPearls Publishing; 2017 Jun-. Available from: https://www-ncbi-nlm-nih-gov.proxy3.library.mcgill.ca/books/NBK430881/
- Cunha, B. A. (2017). Rocky Mountain Spotted Fever (RMSF) (M. S. Bronze, Ed.). Retrieved November 20, 2017, from https://emedicine.medscape.com/article/228042-overview#a5
- Voth, D. E., Broederdorf, L. J., & Graham, J. G. (2012). Bacterial Type IV Secretion Systems: Versatile Virulence Machines. Future Microbiology, 7(2), 241–257. http://doi.org/10.2217/fmb.11.150
- Walker, D. H. and Ismail, N. (2008). Emerging and re-emerging rickettsioses: endothelial cell infection and early disease events. Nature Reviews Microbiology, 6, 375-386. doi:10.1038/nrmicro1866
